Souriez avec Confiance

Excellence en dentisterie esthétique, implantologie et orthodontie à Eden Dental Clinic

Prendre Rendez-vous

Nos Services

cosmétique

Pour un sourire digne de vous

Orthodontie

Plusieurs branches d’orthodontie pour atteindre l’alignement parfait

Hygiène

Parce que prévenir vaut mieux que guérir

Traitement dentaire

Soins et entretien de routine de vos dents, gencives et tissus mous. De vos contrôles réguliers à la réparation des dents cassées, c'est ce que nous faisons tous les jours.

Implants dentaires

Grâce à notre dernière technologie, nous pouvons créer des plans de traitement informatisés pour des implants dentaires, afin de restaurer votre sourire naturel.

Chirurgie

Des interventions précises pour un traitement optimal

À propos du Centre

Eden Dental Clinic Tanger

EDEN Dental Clinic – Tanger

Le Centre EDEN Dental Clinic à Tanger est dirigé par le Dr Mohamed Amine Khalfalah, spécialiste en dentisterie esthétique, smile design, implantologie et orthodontie. Nous mettons à votre disposition des soins de haute qualité, avec des équipements modernes et des techniques avancées, afin d’offrir à chaque patient un sourire sain et harmonieux.

  • ✔ Dentisterie esthétique
  • ✔ Smile design personnalisé
  • ✔ Implantologie
  • ✔ Orthodontie
Prendre rendez-vous
Dr. Mohamed Amine Khalfallah

Dr. Mohamed Amine Khalfallah

Chirurgien-dentiste reconnu pour son expertise en esthétique du sourire, le Dr Khalfallah met plus de 7 ans d’expérience et une formation hautement spécialisée au service de ses patients.

Formé et certifié en implantologie, en photographie dentaire et en facettes composites, ainsi qu’en techniques avancées de facettes, il réalise des traitements alliant précision technique et sens artistique.

Souhaitant offrir les solutions les plus innovantes, il actualise en permanence ses compétences à travers des formations de haut niveau. En juillet 2025, il a obtenu à Casablanca un Master Class en Dentisterie Esthétique, validant des sessions théoriques et pratiques spécialisées.

Son objectif : transformer chaque sourire en un résultat harmonieux, naturel et durable.

Dentisterie Esthétique & Facettes
Implantologie & Chirurgie Dentaire
Orthodontie Invisible & Aligners
Réhabilitation Orale Complète

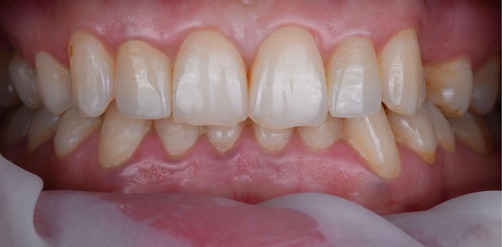
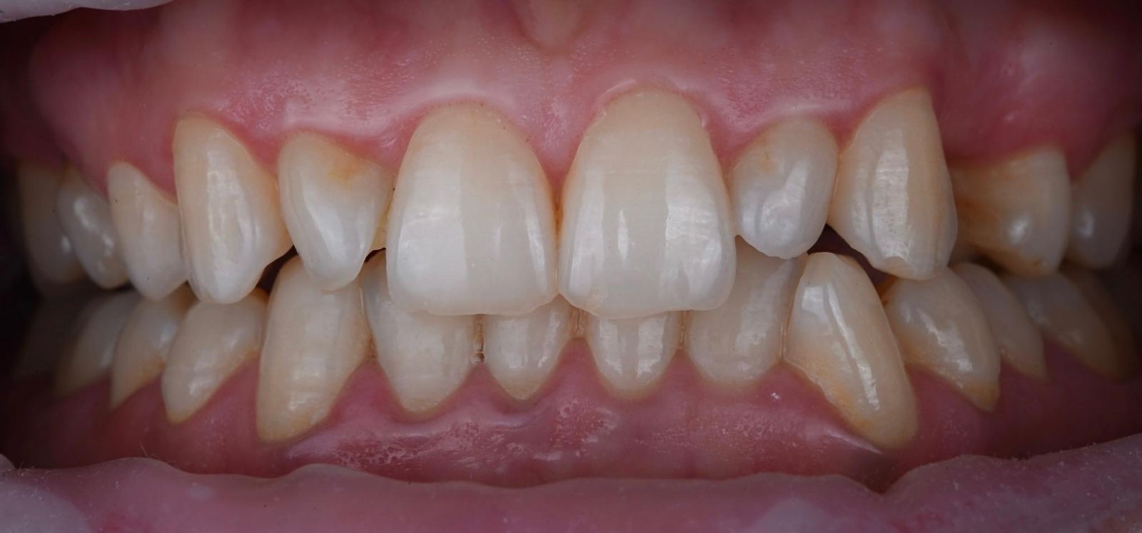
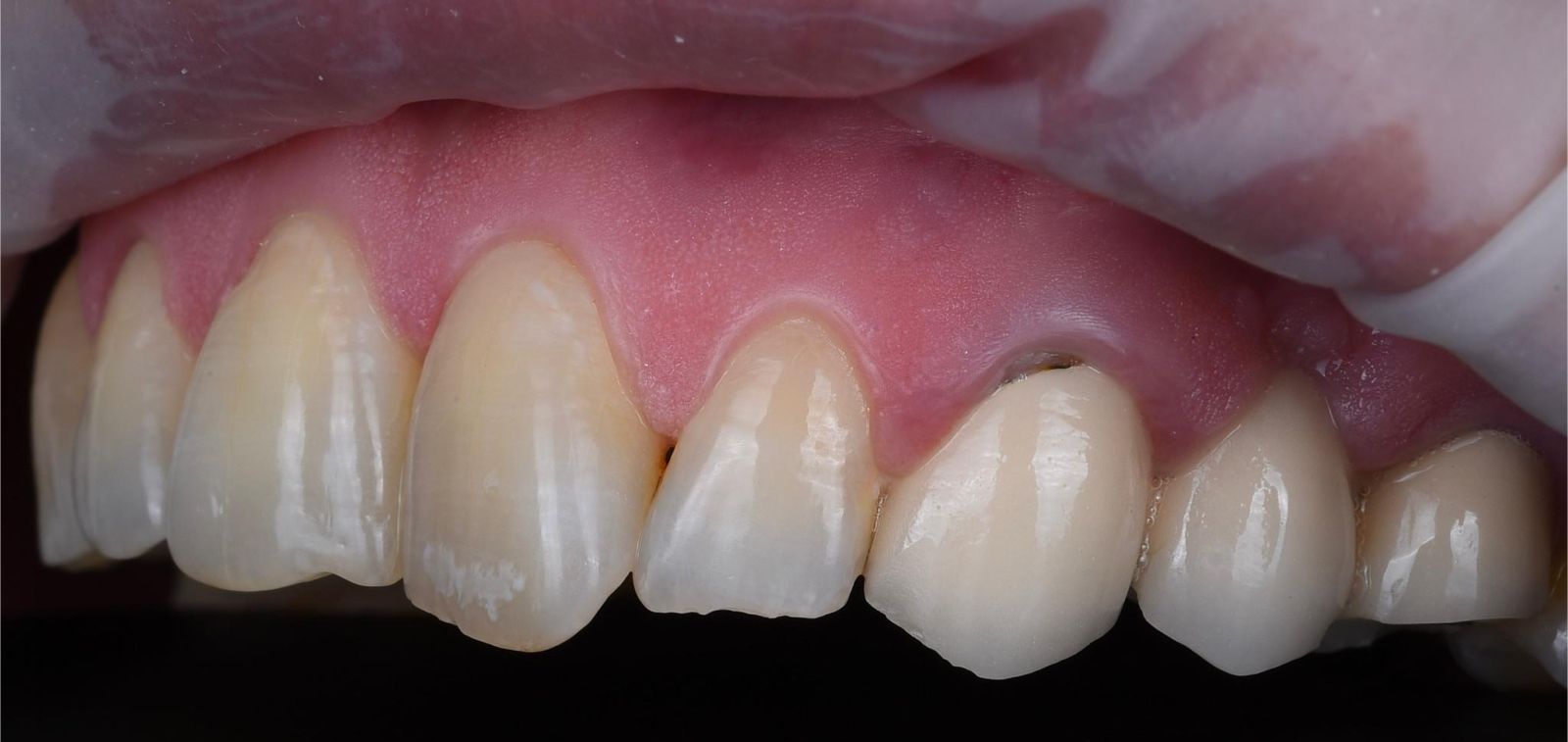
Avant / Après

color photo black and white
color photo black and white
color photo black and white
color photo black and white
color photo black and white
black and white color photo

Témoignages de nos patients

BOULFAF Othmane
⭐️⭐️⭐️⭐️⭐️ – BOULFAF O.

"Je tiens à exprimer ma gratitude pour l'excellent service reçu lors de ma visite récente au centre dentaire. L'équipe, du personnel aux dentistes, a été exceptionnelle, démontrant professionnalisme, gentillesse et expertise. Je recommande vivement ce centre à ceux qui recherchent des soins de qualité. Quant au docteur, son professionnalisme et son attention aux détails ont rendu le processus de pose des bagues confiant et les résultats ont dépassé mes attentes."

nizar tarraz
⭐️⭐️⭐️⭐️⭐️ – NIZAR T.

"Le docteur a la hauteur professionnelle qui aime la perfection mashalah . cabinet magnifique ,trop propre . On peut pas oublier les assistantes accueillant souriant est qu'il vous donne tout les informations que vous avez besoin "

Jaouhar Tahoum
⭐️⭐️⭐️⭐️⭐️ – Jaouhar T.

"طبيب دو خبره ودقيق في عمله، المعدات حديثة والمكان نقي ومريح. المساعدتان يعملان بشكل جيد واحترافي، استقبال (استشارة) لائق ولطيف. 👏🏽"

Prendre Rendez-vous

Nous Trouver

Contactez-nous

Av. Youssef Ibn Tachfine, Rés. Nour N° 25 (à côté de Mall Ibn Batouta) - Tanger

Horaires d'Ouverture

Lundi - Vendredi: 09:15 - 13:00 || 15:15 - 19:00
Dimanche: Fermé

Urgences Dentaires

En cas d’urgence, prière de nous prévenir 24h avant la date de votre rendez-vous.